-
-
樟葉駅徒歩1分
くずはモール内に
あるクリニック
-
-
-
1本 500円 ~
ワンコイン
ホワイトニング
-
-
少額でも
キャッシュレス
決済対応 -
保険適用
で実現する自然な白い詰め物 - 2026.02.20 歯と歯茎の間が黒い!ブラックマージンとは?原因と解決法について
- 2026.02.06 歯ぐきが紫色なのは何が原因?治療法や予防法も解説
- 2026.01.20 「うちの子、歯が黄色い…」子供でもホワイトニング可能?歯の変色の原因と安全に白くする方法
- 2026.01.14 たかぎ歯科クリニックのデンタルエステを徹底解説!美と癒しを求めるあなたへ
- 2026.01.06 歯の「白い斑点(ホワイトスポット)」は治る?自力で消す方法について
- 2025.12.28 【口臭は歯科医院で治る】セルフケアで改善しない原因とは?
- 2025.12.20 味覚障害は歯科で治る?口の中が原因の味覚障害について
- 2025.12.06 歯のヤニ取りは自分でできる?市販グッズの賢い選び方と絶対にやってはいけないこと
- 2025.11.28 銀歯をジルコニアで白く!費用・種類・リスクを徹底比較【後悔しない選び方】
-
歯を白くしたい方へホワイトニング

1本500円からのお手軽価格
ポリリン3Dホワイトニングシステム
歯質を強化し、エナメル質を保護
白さ長持ち、長期効果を実感
ホワイトニング歯を白くしたい方へ
1本500円~のお手軽価格- ポリリン3Dホワイトニングシステム
- 歯質を強化し、エナメル質を保護
- 白さ長持ち、長期効果を実感
歯のクリーニング着色やヤニも除去
細菌や汚れの再付着を抑制- ネバネバを取ってほしい
- 着色やヤニをキレイにしてほしい
- 大好きなタバコがやめられない
デンタルエステリラクゼーションと爽快感
歯ぐきエステ&オーラルスパ- 歯ぐきの色が気になる
- お口周りの筋肉のこわばりを感じる
- ドライマウスでお悩みの方
リップエステふっくらした唇に
有効成分を奥まで浸透- 汚れや角質の除去
- ヒアルロン酸/プラセンタエキス
- 縦ジワを目立たなく
エナメルトリートメント歯の表面をツルツルに
歯の着色にお困りの方へ- むし歯になりやすい方
- ホワイトニング後の後戻りを防ぐ
- 知覚過敏を予防する
歯のシャンプーお口をリフレッシュ
普段のブラッシングも効果的に- 自分に合う歯ブラシを知りたい
- 特別な日に歯をキレイにしたい
- 自分でうまく磨けない
ブレスケア・ドライマウスお口を潤し、爽快に
口臭を抑制するために- 口臭が気になる
- お口の中がネバネバする
- 縦ジワを目立たなく
枚方市樟葉(くずは)の歯医者・ホワイトニング|たかぎ歯科クリニック
笑顔に自信を
輝く歯であなたの未来を彩る

何かお悩みはございませんか?
診療メニュー

患者さまに選ばれる
7つの理由
枚方市・樟葉駅前くずはモール内 にあるので
お買い物ついでに立ち寄れます
当院は、枚方市駅から3駅にある阪本急「樟葉駅」改札を出てすぐの便利な場所に位置しており、くずはモール本館のミドリノモール1Fにございます。枚方市くずはエリアで歯科をお探しの方に最適な立地です。お買い物やお出かけのついでに気軽に立ち寄れる歯科として、多くの患者様にご利用いただいております。
アクセスの良さだけではありません。最新の設備を整え、患者様の快適性を追求した診療環境を提供しています。また、経験豊富な歯科医師とスタッフが、一人ひとりの患者様に寄り添った丁寧な診療を心がけています。
むし歯治療やホワイトニングなど、幅広い歯科治療メニューをご用意しております。さらに予防歯科にも力を入れており、定期的なクリーニングやメンテナンスで、患者様の歯の健康を長期的にサポートいたします。
お子様からご年配の方まで、幅広い年齢層の患者様にご利用いただけます。枚方市くずはエリアにお住まいの方はもちろん、近隣地域からも多くの患者様にご来院いただいております。
くずはモール駐車場の無料チケットをお渡しします。
ぜひ当院にて、快適な歯科診療をお受けください。アクセスの良さと質の高い診療を両立した当院で、あなたの歯の健康をサポートいたします。
1本500円 で
気軽に簡単
ホワイトニングが可能
当院では、手軽な価格で高品質なホワイトニングサービスを提供しています。
1本わずか500円からのワンコインホワイトニングは、多くの患者様に好評です。
ホワイトニングは、最新の技術を用いて安全かつ効果的に行われます。
枚方市・樟葉の歯科クリニックの中でも、特に低価格で高品質なホワイトニングを提供している点が特徴です。
またホームホワイトニングのオプションもご用意しており、自宅で継続的にケアを行うことができます。
枚方市・くずはで歯を白くしたいとお考えの方は、ぜひ当院のホワイトニングサービスをお試しください。
経験豊富な歯科医師が、あなたの歯の状態に合わせて最適なホワイトニング方法をご提案いたします。
美しい口元をサポート
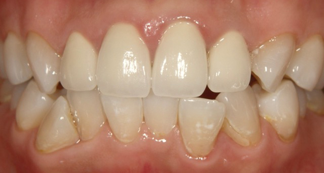
ホワイトニング・クリーニング・白い詰め物で自然な笑顔へ
白い歯やきれいな口元は、笑顔をより明るくしてくれます。
近頃は20〜40代の女性を中心に、ホワイトニングや歯のクリーニングを「審美目的の通院」や「自分への投資」として取り入れる方が増えています。
枚方市・くずはエリアにある当院では、1本500円から始められるホワイトニングや、定期的なクリーニングをご提供しています。見た目の白さを保つだけでなく、口臭予防にもつながるため、清潔感を大切にしたい方にもおすすめです。さらに、保険診療で選べる白い詰め物もあり、自然な見た目と使いやすさを両立できます。
「きれいな歯で笑いたい」「毎日を気持ちよく過ごしたい」──そんな思いに寄り添いながら、無理なく続けられるケアをお手伝いしています。
自宅に居るような
リラックス空間
完全個室のエステルーム 完備
当院では、くずはエリアでも珍しい完全個室のエステルームを完備しており、自宅にいるようなリラックスした雰囲気の中で治療を受けていただけます。
クリニック内では、プライバシーに配慮した空間設計を行い、他の患者様の目を気にせずにゆったりとした時間をお過ごしいただけます。
またエステルームならではの心地よい内装と、最新の歯科設備を組み合わせることで、リラックスしながらも高品質な歯科治療を受けられる環境を整えています。
枚方市・樟葉でデンタルエステをお考えの方は、ぜひ当院の完全個室エステルームで、心地よい歯科体験をお楽しみください。
患者さま一人ひとりに
寄り添った
丁寧なカウンセリング
歯医者さんで、痛みのある箇所やお悩みをうまく伝えられなかったり、思っていることが言いづらいと感じたことはありませんか?
当院では、患者様のお悩みをしっかりと解決するために、専任のクリニカルコーディネーターが丁寧にカウンセリングを行っています。
クリニカルコーディネーターは治療の内容だけでなく、「なぜこの治療が必要なのか」「これからどんな治療を進めるのか」「費用がどれくらいかかるか」など、歯科医師には尋ねにくいご質問にもお応えします。患者様のお悩みに寄り添い、一緒に解決への道を探っていきます。
小児歯科、矯正歯科、インプラント、口腔外科は提携している歯科にご紹介します。
できるだけ痛くない治療
を
心がけています
私たちは患者様の不安や恐怖を和らげる痛みの少ない治療を心がけています。
最新の麻酔技術や、痛みを軽減する器具を導入し、くずは地域の皆様に快適な歯科治療を提供しています。
特に、むし歯や歯周病は早期発見・早期治療が重要。症状が進行する前に治療を行うことで痛みも最小限に抑えることが出来ます。
また、丁寧なカウンセリングを通じて、患者様一人ひとりの状態に合わせたむし歯治療や歯周病治療の計画を立てております。
できる限り痛みを抑えた治療を行うことで、歯科治療に対する恐怖心を軽減し、定期的な歯科検診や、むし歯・歯周病の早期治療の重要性を地域の皆様にお伝えしています。
痛みの少ない歯治療と、快適な診療環境の提供に努め、皆様の口腔健康をトータルでサポートいたします。
保険診療の少額の決済でも
キャッシュレス利用可能
患者様の利便性を考え、保険診療の少額の決済でもキャッシュレス決済に対応しています。
現金を持ち歩く必要がなく、スマートフォンやカードで簡単に支払いができるため、歯科治療がより便利になります。
クレジットカードはもちろん、電子マネーやQRコード決済など、様々な決済方法に対応しているので、患者様のご都合に合わせてお選びいただけます。
枚方市・樟葉駅周辺の歯科医院の中でも、キャッシュレス対応が充実しているのが当院の特徴です。
歯科治療やホワイトニングなど、歯科サービスを受ける際に、ぜひ当院のキャッシュレス決済をご利用ください。
くずはの歯科医院選びで迷った際は、このような便利なサービスも参考にしていただければ幸いです。

院長歯学博士
高木 一徳
患者様にご満足いただける
歯科医院でありたい
私は母の意志を受け継ぎ、枚方市くずはの地で歯科医師としての道を歩み始めました。幼少期に虫歯による痛みを経験したことも、この道を選んだ理由の一つです。歯のトラブルで悩む方々を一人でも多く助けたいという思いが、歯科医療の世界へと導きました。
皆様の口腔健康を守るため、最新の設備と技術を導入し、痛みの少ない治療を心がけています。また、予防歯科にも力を入れ、定期的なクリーニングやホワイトニングなど、幅広いサービスを提供しています。
歯科医療の質を高めるため、スタッフ一同、日々研鑽を重ねています。患者様一人ひとりのニーズに寄り添い、最適な治療プランを提案することで、皆様に信頼される歯科医院を目指しています。
枚方市・樟葉の地域に根ざした歯科医院として、お子様からご年配の方まで、すべての世代の方々の歯の健康をサポートいたします。皆様の笑顔のために、これからも努力を重ねてまいります。どうぞ歯科医療のパートナーとして、当院をご利用ください。





















