

- 01 ホワイトニングをしたいけど、
痛み(知覚過敏)が怖い - 02 以前ホワイトニングをしたけど、
思ったように白くならなかった - 03 重度の変色で「あなたの歯は白くならない」と言われてしまった
- 04 ホワイトニングしたけど、
すぐに色戻りしてしまった - 05 自宅でしっかり、効果のある
ホワイトニングをしたい! -
- STEP 1カウンセリング
- お口の中をチェックし、歯の色の確認と口腔内写真の撮影をします。その後、歯の表面のクリーニングを行います。
-
- STEP 2マウストレーの作製
- 歯の型を取り、マウストレーを作製します。完成したマウストレーとホワイトニングジェルをお持ち帰りいただきます。
-
- STEP 3ホワイトニング剤塗布
- ご自宅で、マウストレーにホワイトニングジェルを注入し装着します。就寝中ずっと、そして変色度合いにより、2ヶ月から5ヶ月間続けていただきます。
-
- STEP 4経過確認
- ホワイトニング効果の経過確認のため、数か月に1~2回程度、ご来院ください。
TDC式
ホームホワイトニング
白さを保つ処置付き!
費用55,000円(税込)
エナメルトリートメント(料金12,100円)込
こんなお悩み、ありませんか?
他院で白くならなかった歯も、
しっかり白く!
以前ホワイトニングを試したけれど、
思ったように白くならなかった…
そんな経験はありませんか?
当院オリジナルTDC式ホームホワイトニングでは、他院のホワイトニングで効果を感じられなかった方にも対応可能!
重度の歯の変色(難症例) の方にも適した処置を行い、より理想の白さへと導きます。
難しい症例でも対応できるのは、ホワイトニングに精通した歯科医師がいるからこそ。
「今まで白くならなかった…」と諦める前に、一度ご相談ください。
TDC式ホームホワイトニングが選ばれる
3つの理由

知覚過敏のリスクを最小限に!
痛みを感じにくいホワイトニング
ホワイトニングをしたいけれど、「歯がしみるのが怖い…」
そんな方にこそ試してほしいのがTDC式ホームホワイトニング。
当院では、国内流通のものより知覚過敏を抑えられる「Opalescence PF」(海外製ホワイトニング剤)を採用しています。
Opalescence PFの特長
✅ 知覚過敏を起こしにくい → ゆっくり優しく作用、歯に負担をかけない
✅ フッ素&硝酸カリウム配合 → エナメル質を強化しながらホワイトニング
✅ ジェルの密着性が高い → 均一にホワイトニングでき、ムラなく仕上がる
当院だけの特別なサービス!
白さを長持ちさせる
「エナメルトリートメント」込み
ホワイトニング後の歯は、実はとてもデリケート。
エナメル質の表面が一時的に弱くなり、色戻りしやすくなっています。
そこでTDC式ホームホワイトニングでは、ホワイトニング後に「エナメルトリートメント」(12,100円相当)を無料で施術!
せっかく白くした歯を、できるだけ長く美しく保ちたい方におすすめです。
エナメルトリートメントとは?
✅ エナメル質を修復 → ホワイトニング後の歯を健康に保つ
✅ 歯の表面をコーティング → 着色や汚れを防ぎ、白さをキープ
✅ ツルツルの仕上がりに! → 光沢のある、自然な白い歯に


ホワイトニング専門の知識を持つ
歯科医師がサポート
自宅で手軽&効果を実感!
「歯医者に通う時間がない…」
「自宅で、しっかりホワイトニングしたい!」
そんな方にぴったりなのが、TDC式ホームホワイトニング。
医院で型取りした自分専用のマウスピースに、薬剤を入れて装着するだけ。
✅ 寝ている間にできるから忙しくても続けやすい!
✅ 知覚過敏があっても、それを抑えるジェルをお渡しします
さらに、当院はホワイトニング専門の知識を持つ歯科医師がサポート。
「もっと白くしたいけど、歯に負担はかからない?」
など、不安なことがあればいつでもご相談ください!
万が一知覚過敏が出た時にも早急にご対応します
他医院ホワイトニング
との違い
| 項目 | TDC式ホームホワイトニング | 一般的なホワイトニング |
|---|---|---|
| ホワイトニング剤 | 知覚過敏を抑えるOpalescence PF使用 | 国内製の標準的なもの |
| 対応できる症例 | 難症例(重度の変色)にも対応 | 軽度~中等度の変色が中心 |
| 施術後のケア | エナメルトリートメント付き (12,100円相当) |
なし or 別料金 |
| 色戻り防止 | エナメル質を修復&コーティング | 色戻りしやすい |
| 価格 |
55,000円(2ヶ月間)※ |
追加処置により総額が高くなることも |
※ホームホワイトニングの費用は、2か月間の総額が55,000円です。(基本2ヶ月で終了します)
※期間延長の際は、1ヶ月毎にの追加ジェル(9,000円)料金がかかります。
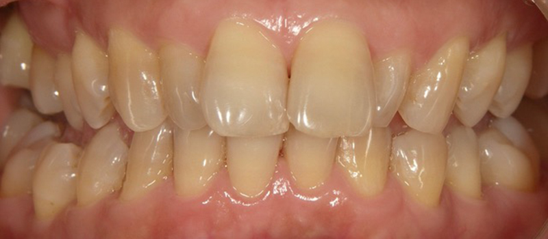
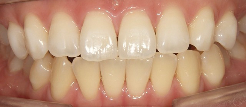
症例のご紹介
難症例(重度の変色)の方の治療例
|
ホワイトニング前 ![]() |
ホワイトニング後 ![]() |
|
主訴 |
歯の色が茶色い |
|
相談内容 |
生まれつき歯の色で悩んでいる。 |
|
治療内容 |
ワンコインやオフィスホワイトニングでは不可能で、ホームホワイトニングを行なった |
|
治療期間 |
始めは2ヶ月間だったが、もっと白くしたいので5ヶ月間 |
|
治療費 |
55,000円(追加の3ヶ月分のジェル代 9,000×3=27,000円) |
|
治療のリスク・副作用 |
知覚過敏が起こる可能性あり。副作用は特になし |
|
症例の解説 |
テトラサイクリンという抗生物質の服用で、全体的に歯の色が茶色いケースです。 |
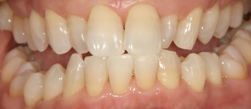
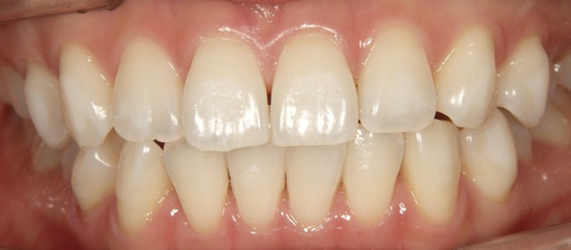
上の歯だけのホワイトニング症例
|
ホワイトニング前 ![]() |
ホワイトニング後 ![]() |
|
主訴 |
下の色に合わせて、上の歯を白くしたい |
|
相談内容 |
上の歯をセラミックにすれば高額なので、それに比べ安価な方法で白くしたい |
|
治療内容 |
上の歯だけホームホワイトニングを行なった |
|
治療期間 |
4ヶ月 |
|
治療費 |
44,000円(追加の2ヶ月分のジェル代 9,000×1=9,000円) |
|
治療のリスク・副作用 |
知覚過敏が起こる可能性あり。副作用は特になし |
|
症例の解説 |
下のセラミックに合わせて、上の歯をホームホワイトニングで白く行なったケースです。 |
ホワイトニングの経過と白さの比較
|
まずは2週間だけ、上の歯をホワイトニング ![]() |
2ヶ月後、上下の歯のホワイトニング終了 ![]() |
ホームホワイトニングの
メリット
1.自宅での施術
何度も来院できない、忙しい方に適しています。歯科医師から処方された専用のホワイトニングキットを使用します。
2.持続的な効果
使用期間が長い場合、歯を徐々に白くするため、自然な仕上がりが期待できます。通常数週間目から効果が認められます。
3.リラックスして施術可能
ホームホワイトニングは、自分の歯の状態に合わせて行えるため、リラックスした環境で施術が可能です。
4.手軽さとコスト
オフィスホワイトニングと較べて、白さを実感できます。全体的にみると、コストパフォーマンスに優れております。
ホワイトニング効果を長くさせるための日常ケア
食生活
ホワイトニング後は、色素が濃い食品や飲み物(コーヒー、紅茶、赤ワインなど)の摂取を控えることをおすすめします。
喫煙を控える
タバコのヤニは歯に色素を付着させる大きな原因です。
禁煙を検討することで、ホワイトニング効果が見られます。
正しい歯磨き
毎日の歯磨きでは、研磨剤は少なく、歯に優しい歯磨き粉を使用してください。
また、歯間ブラシやデンタルフロスで、歯と歯の間も丁寧にケアしましょう。
ホワイトニング効果のある専用の歯磨き粉を使用していただく事で、白さを保つ事ができます。
白さをキープするために!
専用ケア歯磨き粉のご紹介
TDC式ホームホワイトニングの効果を長く持続させるためには、毎日のケアがとても大切です。
そこでおすすめなのが、ホワイトニング専用歯磨き粉「パールホワイト」(2,800円)。
当院では、アフターケア用に並行輸入で仕入れております。
着色汚れを防ぎ、白さをキープ!
歯に優しい成分で知覚過敏を予防
毎日のブラッシングで透明感のある白い歯へ
ホワイトニング後の美しい白さを守るために、ぜひ一緒にご使用ください!
ホームホワイトニングの流れ






